Transformedsmiles

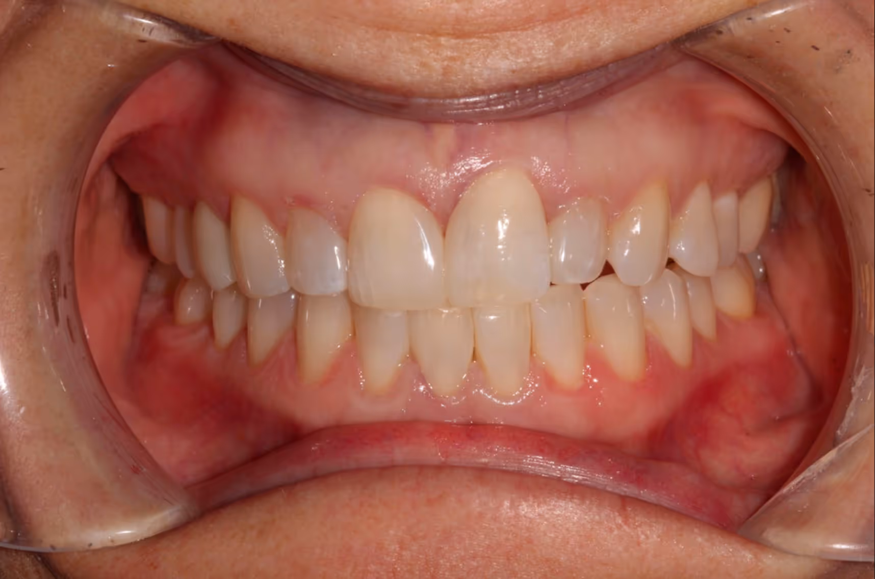
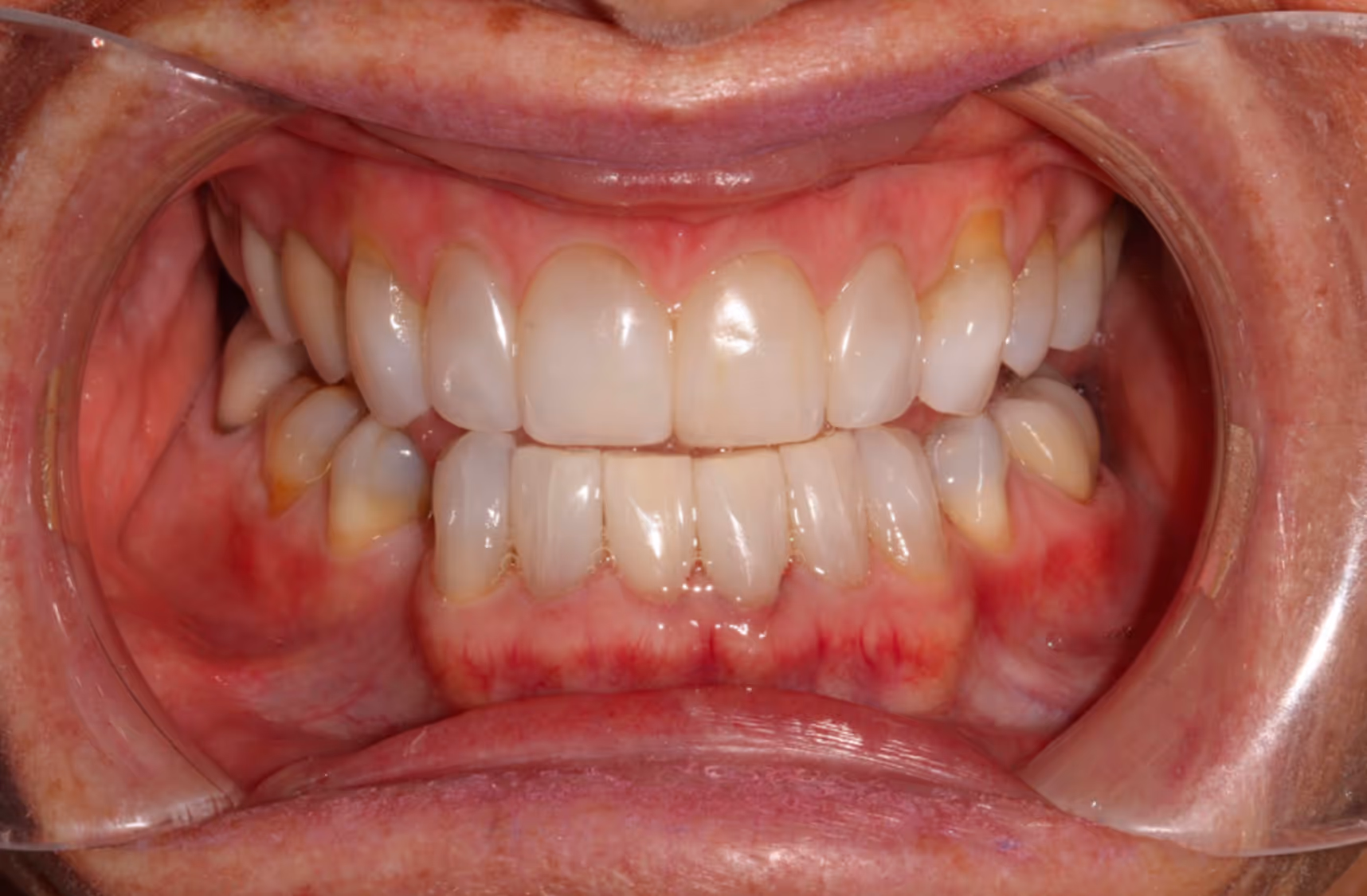
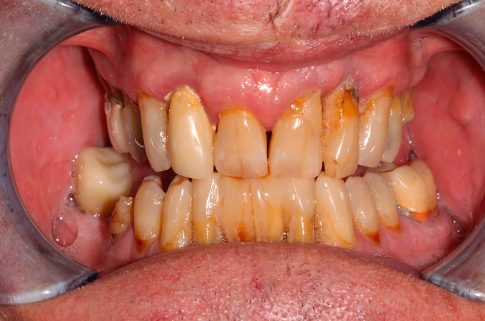
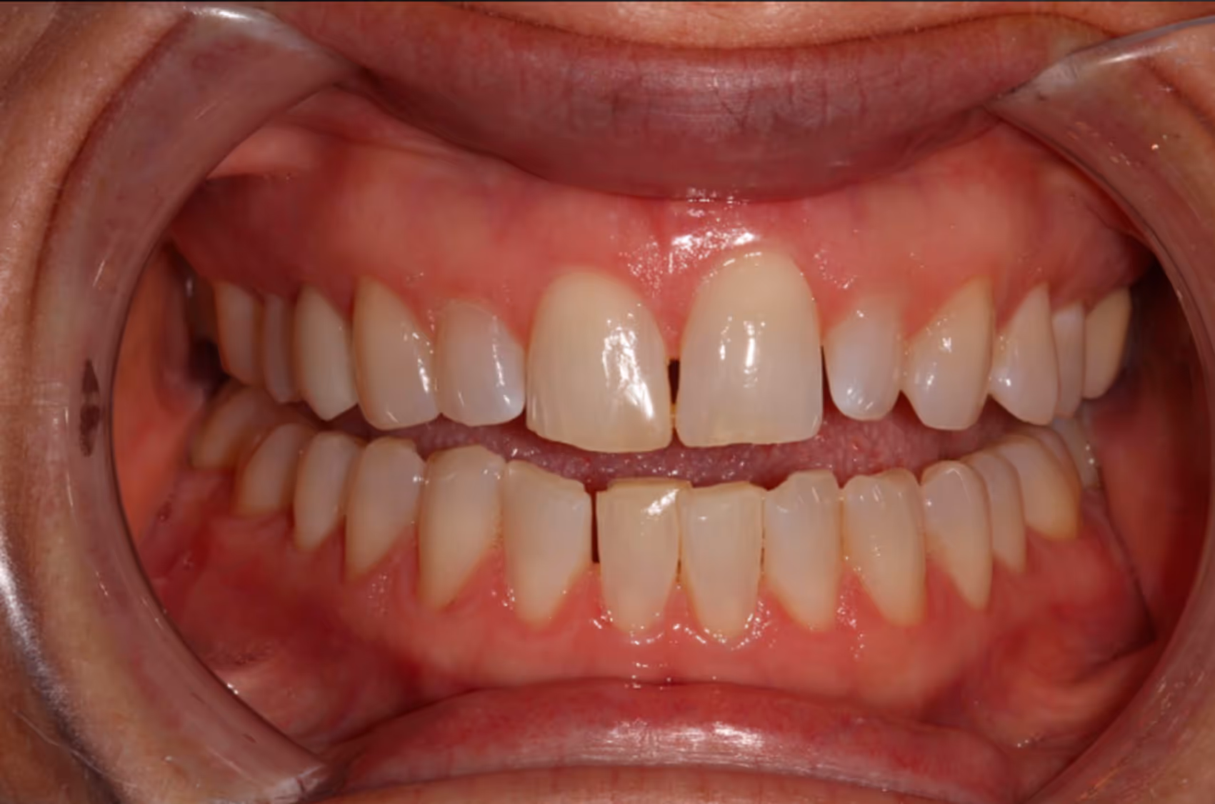
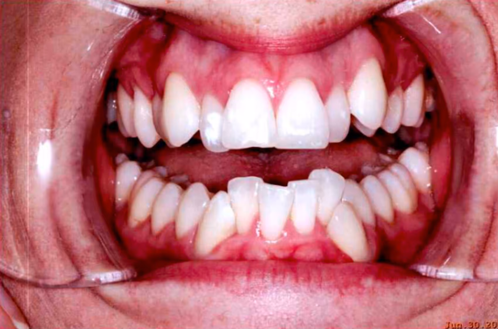
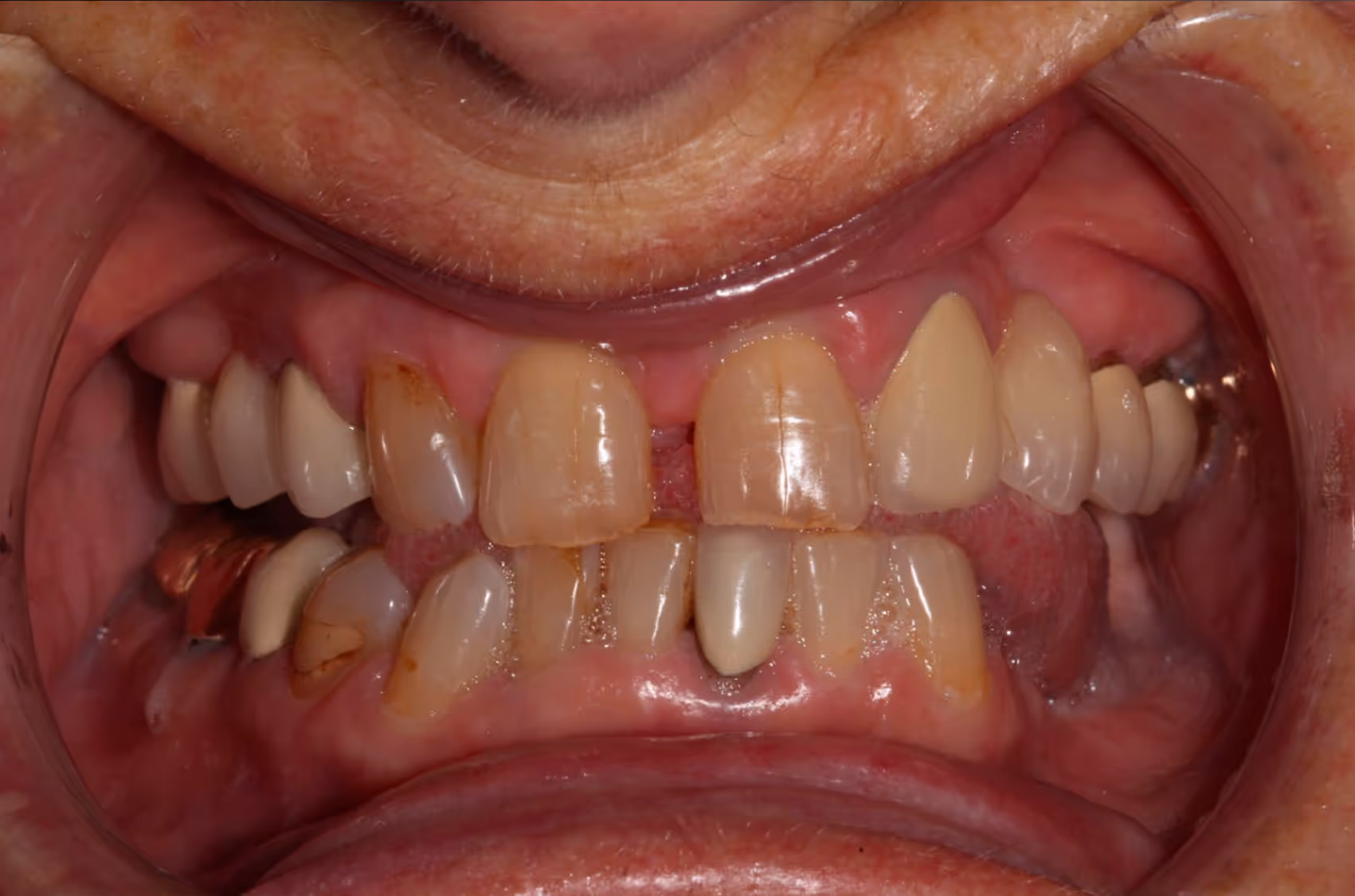
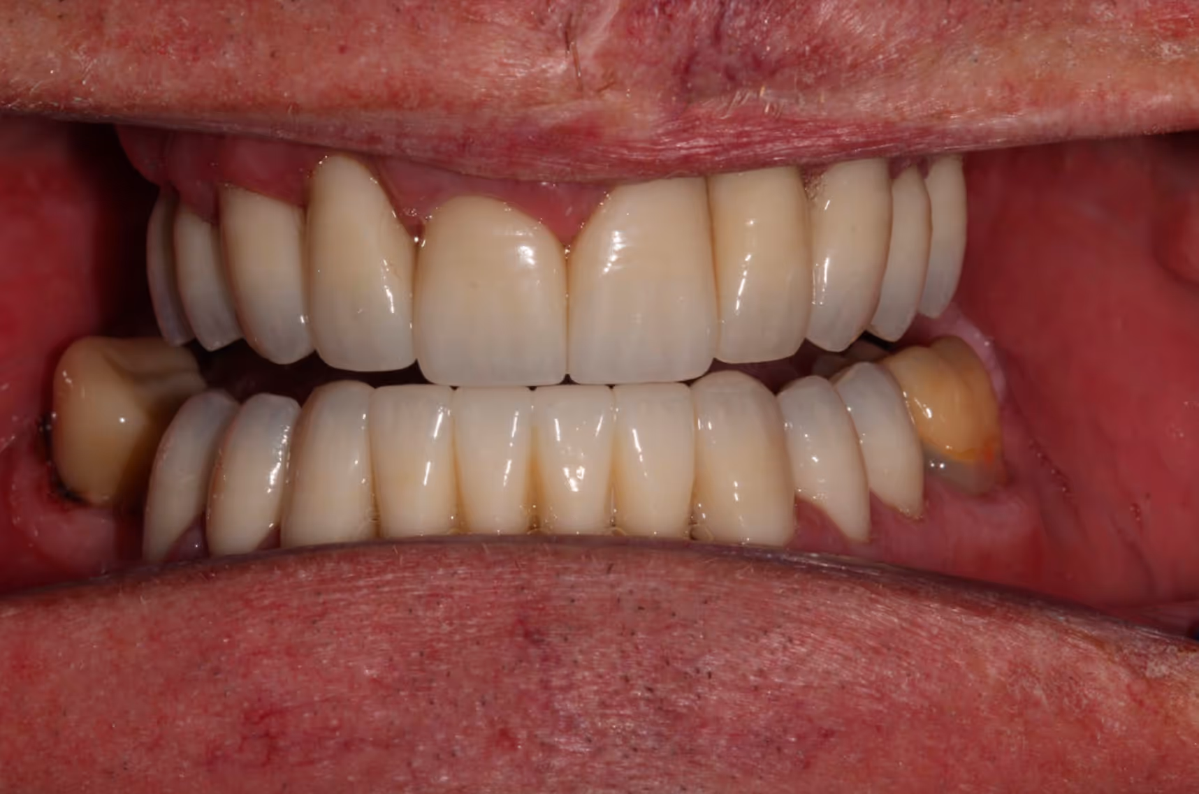
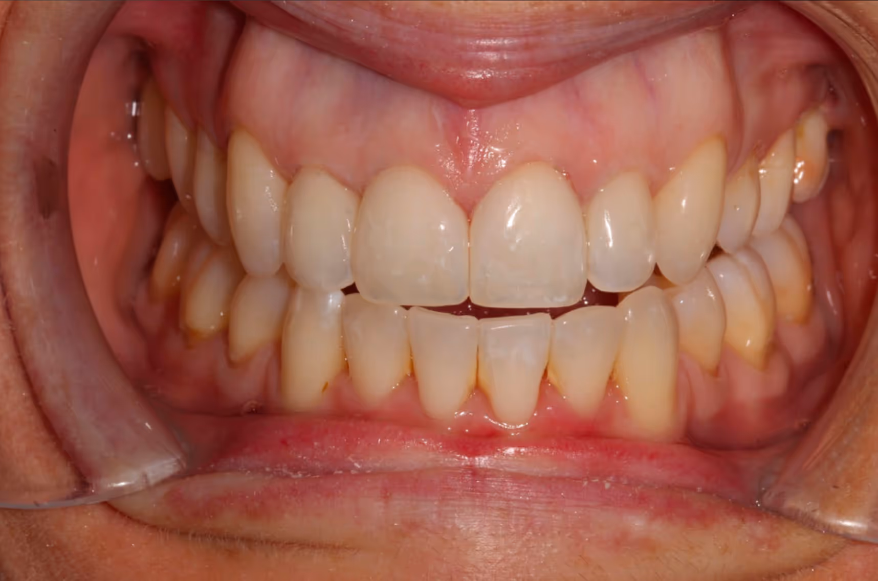
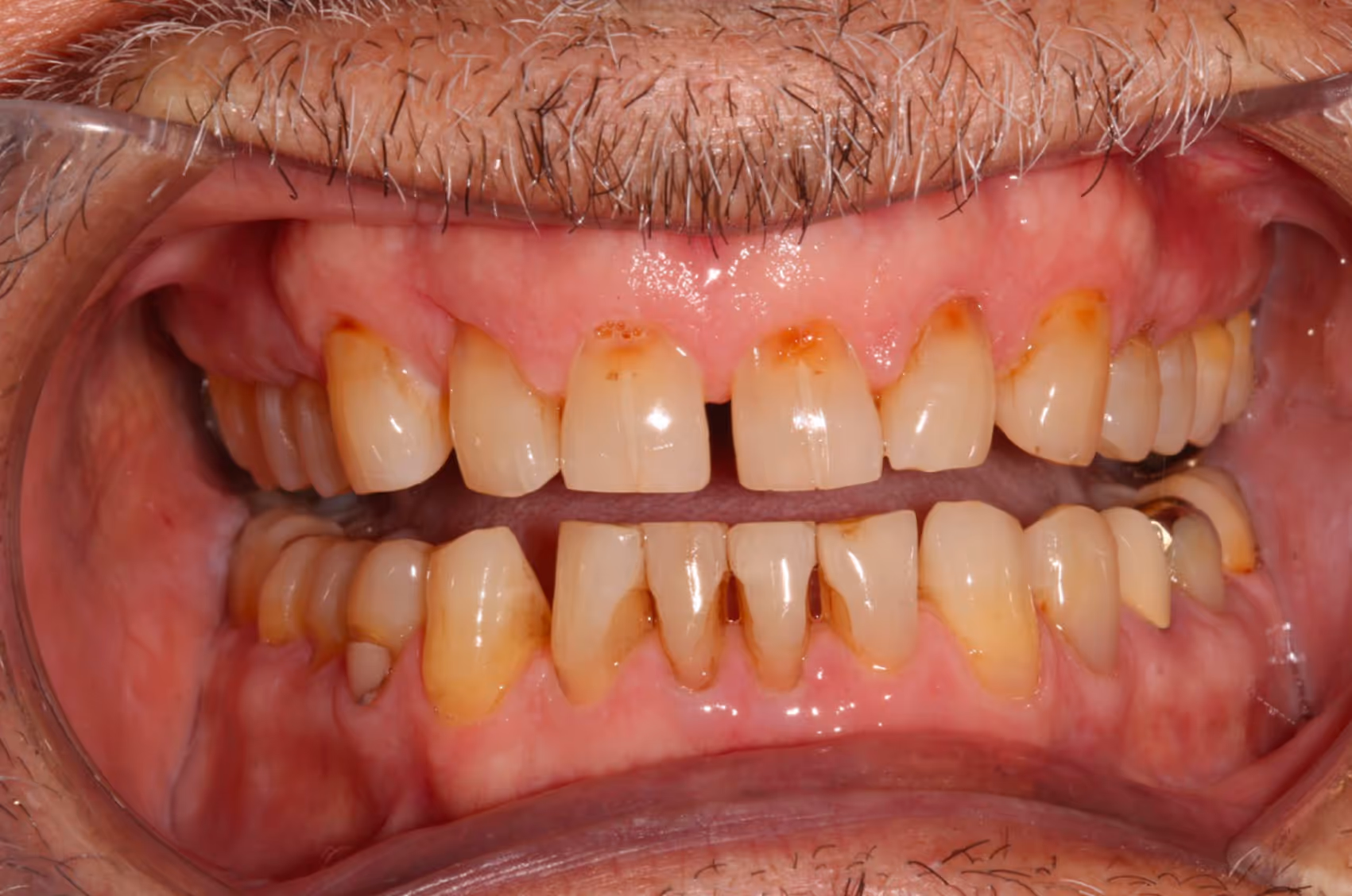
Before and after treatment photos from real patients

Rocky coastline with cliffs and waves crashing into a small sandy beach beneath a cloudy sky.

Transformed Smiles. Transformed Lives.

we'd loveto meet you!

Call (408) 356-0800 or request an appointment online to set up your first visit. We’ll be in touch soon.